Oglasi - Advertisement

Petni trn – tihi neprijatelj stopala i kako ga pobijediti bez operacije

Bol u peti može djelovati bezazleno, ali onaj ko se suočio s petnim trnom zna da to nije obična tegoba.
To je bol koja zna biti uporna, probadajuća i iscrpljujuća, a svaki korak pretvara u izazov.
Ustati iz kreveta, spustiti stopalo na pod, hodati do kuhinje – sve što je nekada bilo automatski, sada postaje test izdržljivosti.

Sadržaj se nastavlja nakon oglasa

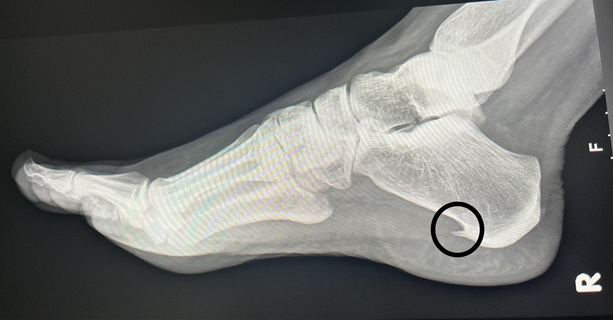
Iako se iza naziva petni trn krije mali koštani izdanak koji se formira na donjem dijelu pete, problem nije sam trn, već upala tkiva koja ga okružuje. Upravo ta upala izaziva bol, ukočenost i otežano kretanje.
Dobra vijest je da – iako trn ne nestaje sam od sebe – operacija u većini slučajeva nije potrebna.

Šta je zapravo petni trn?

Petni trn (lat. calcaneal spur) predstavlja naslagu kalcija koja se nakuplja na petnoj kosti, najčešće na mjestu gdje se vezuje plantarna fascija – čvrsta vezivna traka koja povezuje petu s prstima i podržava svod stopala.

Ovaj mali izdanak može nastati usljed:

  • dugotrajnog stajanja,

  • hodanja po tvrdim površinama,

  • nepravilne obuće,

  • prekomjerne tjelesne težine,

  • ponavljajućih mikrotrauma kod sportaša.

S vremenom, zbog konstantnog pritiska i zatezanja fascije, dolazi do mikropukotina i upale – a bol je najizraženija ujutro, prilikom prvog koraka nakon buđenja.


Može li se petni trn ukloniti bez operacije?

Pitanje koje najčešće postavljaju pacijenti glasi:

„Može li se petni trn izliječiti bez hirurške intervencije?“

Odgovor je jasan:
Sam koštani izrastak može u potpunosti nestati samo operativno, ali u više od 90% slučajeva to nije potrebno.
Ključ je u smanjivanju upale i rasterećenju pete, čime se bol smanjuje i prestaje, čak i ako trn fizički ostaje prisutan.

Cilj terapije nije samo trenutni prestanak bola, već obnova elastičnosti tkiva, bolja cirkulacija i povratak prirodne funkcionalnosti stopala.


Najefikasnije metode za ublažavanje bolova kod petnog trna

Postoji niz pristupa koji, kad se pravilno kombinuju, daju izvrsne rezultate.

1. Vježbe i istezanja

Najvažniji dio liječenja je redovno istezanje mišića lista i plantarne fascije.
To su jednostavne vježbe koje se mogu raditi kod kuće, a već nakon nekoliko dana donose olakšanje.

Preporučene vježbe:

  • Rolanje stopala po loptici (npr. teniska loptica) – 5 minuta dnevno potiče cirkulaciju i opušta fasciju.

  • Istezanje lista tako da se pete zadrže na podu dok se tijelo naginje naprijed prema zidu.

  • Podizanje na prste i zadržavanje nekoliko sekundi jača stabilnost i isteže mišiće.

Ove vježbe se posebno preporučuju ujutro prije ustajanja i navečer prije spavanja, kada je fascija najnapetija.

2. Protuupalni lijekovi

Nesteroidni antireumatici poput ibuprofena mogu privremeno ublažiti bol i smanjiti upalu.
Međutim, važno je znati da oni ne liječe uzrok – već samo olakšavaju simptome.

Dugoročno rješenje zahtijeva fizičku aktivnost, istezanje i pravilnu obuću, jer lijek sam po sebi neće regenerisati tkivo.


3. Anatomska obuća i ortopedski ulošci

Mnogi pacijenti osjete trenutno poboljšanje čim pređu na obuću s mekanim, anatomski oblikovanim đonom.
Takva obuća ravnomjerno raspoređuje pritisak na stopalo i smanjuje opterećenje na petu.

Ako ne možete mijenjati svu obuću, ortopedski ulošci su sjajna alternativa.
Posebno oni koji imaju mekani jastučić ispod pete ili podignut svod stopala.

Savjet:
Izbjegavajte ravne cipele bez jastučića i pretanke potplate – one dodatno pojačavaju udar na petu pri svakom koraku.


4. Noćne udlage

Udlage se nose tokom sna i drže stopalo pod blagim kutom, čime sprečavaju skraćivanje fascije.
Rezultat: manje ukočenosti i slabiji jutarnji bol.

Mnogi pacijenti potvrđuju da su uz redovno nošenje udlage već nakon dvije sedmice osjetili znatno olakšanje.


5. Led terapija (krioterapija)

Jedna od najjednostavnijih, a vrlo efikasnih metoda.
Stavite led umotan u tkaninu na petu 10–15 minuta, naročito nakon dužeg hodanja ili fizičkog napora.
Led smanjuje upalu, otok i pruža trenutno olakšanje.

Savjet:
Umjesto leda možete koristiti i bocu s hladnom vodom te rolati stopalo preko nje – praktično i ugodno rješenje.


6. Terapija udarnim valom (Shockwave terapija)

Ovo je savremena i vrlo uspješna metoda kod hroničnih slučajeva.
Terapija udarnim valovima stimuliše mikrocirkulaciju, razbija kalcifikate i podstiče regeneraciju tkiva.
Najčešće se primjenjuje u seriji od nekoliko tretmana i ne zahtijeva nikakav oporavak.

Prednost je što djeluje bez lijekova i invazivnih zahvata, a rezultati se često vide već nakon par sedmica.


7. Kortikosteroidne injekcije

Koriste se samo u najtežim slučajevima, kada je bol izrazito jaka i druge metode ne daju rezultate.
Kortikosteroidi brzo uklanjaju upalu, ali njihova dugoročna upotreba se ne preporučuje jer može oslabiti tkivo.
Zato se ove injekcije primjenjuju isključivo uz nadzor ortopeda.


Dodatni savjeti koji ubrzavaju oporavak

Proces oporavka zavisi od navika, fizičke kondicije i strpljenja.
Sljedeće preporuke mogu ubrzati ozdravljenje:

  • Smanjite tjelesnu težinu ako imate višak kilograma – svaki kilogram manje znači manji pritisak na petu.

  • Ne forsirajte hodanje ili trčanje kad osjetite bol – povremene pauze pomažu regeneraciju.

  • Ojačajte mišiće stopala jednostavnim vježbama poput skupljanja peškira prstima ili hodanja bosonogi po travi.

  • Odmarajte s podignutim stopalima – to smanjuje otok i poboljšava cirkulaciju.

  • Birajte mekane podloge za hodanje (tepih, trava, sportske patike s amortizacijom).

Kada je potrebna operacija?

Operativno uklanjanje petnog trna danas se rijetko preporučuje.
Primjenjuje se samo ako bol traje duže od 9–12 mjeseci, uprkos svim drugim terapijama, i ako značajno ograničava pokretljivost.
Čak i tada, nakon operacije slijedi rehabilitacija i vježbe, pa je prevencija i fizioterapija bolja opcija u većini slučajeva.


Psihološki aspekt i motivacija tokom oporavka

Petni trn ne boli samo fizički – on utiče i na psihu.
Kad vas svaki korak podsjeća na bol, lako je izgubiti volju i strpljenje.
Ali zapamtite: oporavak je moguć i dostižan.

Svaki mali napredak – korak bez probadanja, dan bez ukočenosti – znak je da tijelo reaguje i da idete u pravom smjeru.
Najveća greška je odustati prerano.

Svaki korak bez bola – mala je pobjeda nad jučerašnjim ograničenjima.


Zaključak: Upornost i pravilna njega vode ka ozdravljenju

Petni trn možda ne ugrožava život, ali zna ozbiljno ograničiti svakodnevicu.
Dobra vijest je da uz disciplinu, strpljenje i prave metode, većina ljudi može povratiti bezbolno hodanje bez potrebe za operacijom.

Ključ uspjeha leži u kombinaciji:

  • redovnih vježbi istezanja,

  • odgovarajuće obuće i ortopedskih uložaka,

  • pravilnog odmora i hladne terapije,

  • te, po potrebi, stručne fizioterapije.

Ne zaboravite: vaša stopala vas nose kroz život – kroz rad, obaveze, ali i kroz najljepše trenutke.
Zato im pružite ono što zaslužuju: pažnju, njegu i upornost.

Kad to učinite, oni će vam uzvratiti najboljim poklonom – bezbolnim, sigurnim i laganim korakom kroz život.

PREUZMITE BESPLATNO!
⋆ KNJIGA SA RECEPTIMA ⋆

Upiši svoj email i preuzmi BESPLATNU knjigu s receptima! Uživaj u jednostavnim i ukusnim jelima koja će osvojiti tvoje najdraže.

Jednim klikom preuzmi knjigu s najboljim receptima!

LEAVE A REPLY

Please enter your comment!
Please enter your name here